Ck 56
Immunohistochemistry For Cyto Keratin Ck 5 6 Ck14 And Ck19 Download Scientific Diagram
Check Valve Ck 5 6 7 Includes Check Valve O Ring Kit Ssv004 Amazon Com Industrial Scientific
Figure 2 From Immunohistochemistry Of Cytokeratin Ck 5 6 Cd44 And Ck As Prognostic Biomarkers Of Non Muscle Invasive Papillary Upper Tract Urothelial Carcinoma Semantic Scholar
Pathplus Cytokeratin 4 5 6 8 10 13 18 Monoclonal Antibody Mouse Lsbio
Mesothelioma Large Complex Cell Clusters With Knobby Border Cell In Cell Arrangements Single Cells With Dense Perinuclear Cytoplasm And Lac Citologia Abdome
Cytokeratin 5 6 Antibody Biocare Medical
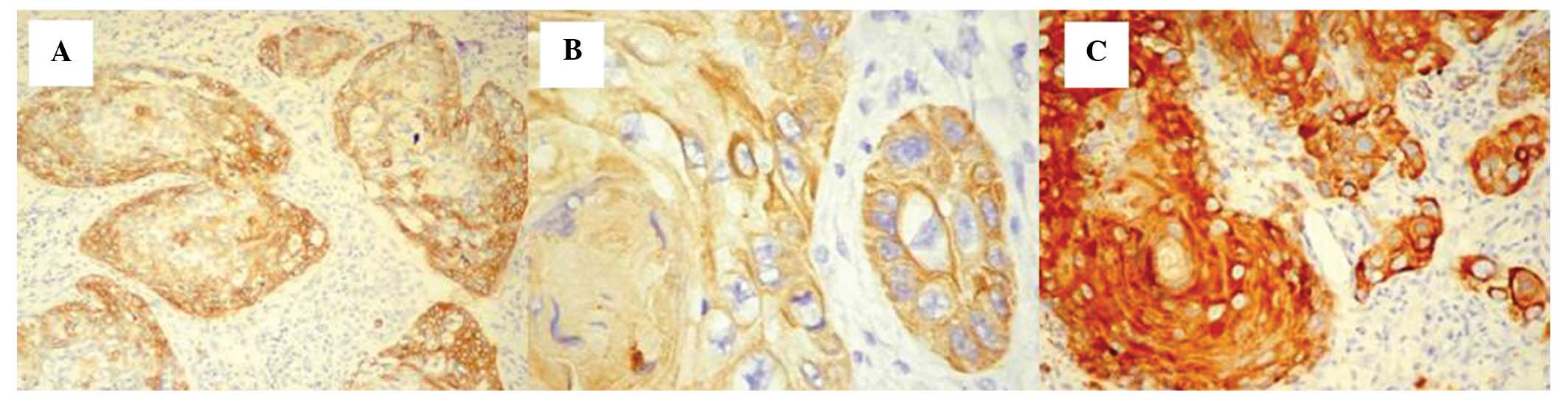
These are used in immunohistochemistry, often called CK 5/6 staining, including the following applications:.
Ck 56. Identifying basal cells or myoepithelial cells in the breast and prostate. Cytokeratin 5/6 is a positive immunohistochemical marker for certain cell types of pleural mesothelioma. CK 5/6 expression breast carcinoma implies a 'basal like' molecular phenotype and is associated with poor prognosis.
Staining is strengthened by increasing. Cytokeratin 5/6 expression in eccrine ducts and coil. Note that while both layers of the eccrine duct express CK 5/6, only the basal layer stains positively with CK 5/6 in the eccrine coil.
However, the staining is slightly weaker than for LP34 and intermittent in benign acini11. Cytokeratin 5/6 antibodies are antibodies that target both cytokeratin 5 and cytokeratin 6. As part of panel to discriminate between undifferentiated sinonasal carcinoma (CK5/6-) and other poorly differentiated head and neck tumors (poorly differentiated squamous cell carcinoma, olfactory neuroblastoma and nasopharyngeal carcinoma) (Ann Diagn Pathol 14;18:261).
Cytokeratin 5 and 5/6 are proteins that help pathologists tell the difference between mesothelioma and other forms of cancer. Cytokeratin 5/6 (CK 5/6) staining basal cells in a benign prostate gland. This antibody is also used as a component of panels to differentiate benign and malignant breast lesions.
Cureus Primary Gastric Squamous Cell Carcinoma
Positive Immunohistochemical Stain For Ck 5 6 Confirmin Open I
Keratin 5 Expression In Squamocellular Carcinoma Of The Head And Neck
Basal Cytokeratin As A Potential Marker Of Low Risk Of Invasion In Ductal Carcinoma In Situ
View Image
Mesothelioma Labeled With Ck 5 6 Tableware Labels Plates
Pathology Outlines Tall Cell Carcinoma With Reverse Polarity
Immunohistochemical And Clinical Characterization Of The Basal Like Subtype Of Invasive Breast Carcinoma Clinical Cancer Research
Pseudomesotheliomatous Type Of Sarcomatoid Squamous Cell Lung Cancer Presenting With Hemothorax The Annals Of Thoracic Surgery
2
Pathplus Cytokeratin 4 5 6 8 10 13 18 Monoclonal Antibody Mouse Lsbio
Ck 5 6 Expression In Breast Ductal Carcinomas A Triple Negative Download Scientific Diagram
Triple Negative Breast Cancer Risk Factors To Potential Targets Clinical Cancer Research
Anti Cytokeratin 5 6 Antibody V0055 Mouse Monoclonal Assaybiotechnology
Mesothelioma Positive For Pan Ck Ck 5 6 Calretinin Wt1 Diagnostic Biosystems Immunohistochemistry Primary Antibodies Monoclonal Antibodies Polyclonal Antibodies Fitc Antibodies Automated Staining Instrumentation Mouse And Rabbit
Hormone Receptors Her 2 Neu And Cytokeratin Ck 5 6 And 17 Download Table
Ispub Com Ijpa 13 2
Cureus A Rare Case Of A High Grade Thymic Squamous Cell Carcinoma Presenting As Cardiac Tamponade
High Affinity And Specificity Ck 5 6 Monoclonal Antibody At Elabscience Com
Citoqueratinas 5 6 Ck 5 6 Histopat Laboratoris
Ck7 Antibody Biocare Medical
Anti Cytokeratin 5 6 Antibody D5 16 B4 Ab Abcam
Thyroid Solid Cell Nests Usefulness Of Cytokeratin 5 6 Springerlink
View Image
Check Valve Ck 5 6 7 Includes 2 Pcs O Ring Ssv055 Amazon Com Industrial Scientific
Quick Diagnosis Spindle Cell Carcinoma Squamous Cell Carcinoma Spindle Cell Type Dr Sarma S Dermpath Other Pathology Topics
A Rare Occurrence Of Basal Cell Adenoma Of Palate A Case Report With Comprehensive Immunohistochemical Analysis Sodhi Sp Brar Rs Singh Hp Kaur T Dhawan R J Can Res Ther
Qiao S Pathology Basaloid Squamous Cell Lung Carcinoma Flickr
Ck5 6 Cellnetix
Cytokeratin 5 6 Erg Antibody Ep24 Ep67 Ep111 Bio Sb
The Cytomorphological Spectrum Of Papillary Lesions In The Breast
Http Print Ispub Com Api 0 Ispub Article
Ppt New Issues In The Interpretation Of Breast Biopsies Powerpoint Presentation Id
Ihc Stain Positive For Ck 5 6 Download Scientific Diagram
Immunohistochemical Panel For Distinguishing Esophageal Adenocarcinoma From Squamous Cell Carcinoma A Combination Of P63 Cytokeratin 5 6 Muc5ac And Anterior Gradient Homolog 2 Allows Optimal Subtyping Sciencedirect
Figure 2 Vitamin D Repletion Reduces The Progression Of Premalignant Squamous Lesions In The Ntcu Lung Squamous Cell Carcinoma Mouse Model Cancer Prevention Research
Validity Of Using Immunohistochemistry To Predict Treatment Outcome In Patients With Non Small Cell Lung Cancer Not Otherwise Specified Springerlink
Ck Inline Duct Fan 4 5 6 8 10 12 Ul Ebay
Practical Immunohistochemistry Of Epithelial Skin Tumor Alhumaidi A Indian J Dermatol Venereol Leprol
Figure 1 From Immunohistochemistry Of Cytokeratin Ck 5 6 Cd44 And Ck As Prognostic Biomarkers Of Non Muscle Invasive Papillary Upper Tract Urothelial Carcinoma Semantic Scholar
Archives Of Plastic Surgery
Pni Carcinoma Multidetector Hrp Ap Kit Bio Sb
Mesothelioma Positive For Pan Ck Ck 5 6 Calretinin Wt1 Diagnostic Biosystems Immunohistochemistry Primary Antibodies Monoclonal Antibodies Polyclonal Antibodies Fitc Antibodies Automated Staining Instrumentation Mouse And Rabbit
Www Ajol Info Index Php Mjz Article View
Figure 1 From Expression Of P63 And Ck5 6 In Early Stage Lung Squamous Cell Carcinoma Is Not Only An Early Diagnostic Indicator But Also Correlates With A Good Prognosis Semantic Scholar
Cytokeratin 5 6 Ck 5 6 Pathology Resident Wiki Fandom
Anti Amacr Anti Ck Hmw Anti Ck 5 6 Antibody Cocktail Agilent
A And B H E And Ck 5 6 Positive Basal Like Invasive Breast Download Scientific Diagram
Pdf Comparing The Diagnostic Outcomes Of Staining Various Breast Lesions With Either Anti Ck 5 6 Or Anti Ck 5 Iranian Journal Of Pathology Academia Edu
Cytogenetic Alterations And Cytokeratin Expression Patterns In Breast Cancer Integrating A New Model Of Breast Differentiation Into Cytogenetic Pathways Of Breast Carcinogenesis Laboratory Investigation
Mesothelioma Positive For Pan Ck Ck 5 6 Calretinin Wt1 Diagnostic Biosystems Immunohistochemistry Primary Antibodies Monoclonal Antibodies Polyclonal Antibodies Fitc Antibodies Automated Staining Instrumentation Mouse And Rabbit
Cytogenetic Alterations And Cytokeratin Expression Patterns In Breast Cancer Integrating A New Model Of Breast Differentiation Into Cytogenetic Pathways Of Breast Carcinogenesis Laboratory Investigation
Figure 1 From Cytokeratin Profiles Of Male Breast Cancers Semantic Scholar
Www Jmedsciences Com Doi Jmeds Pdf 10 5005 Jp Journals 0096
Anti Cytokeratin 5 6 Antibody V0055 Mouse Monoclonal Assaybiotechnology
Cureus Breast Metastasis From A Non Small Cell Lung Cancer A Case Report
Http Www Ijdb Ehu Es Web Descarga Paper
Ispub Com Ijpa 13 2
Citoqueratinas 5 6 Ck 5 6 Histopat Laboratoris
Mesothelioma Positive For Pan Ck Ck 5 6 Calretinin Wt1 Diagnostic Biosystems Immunohistochemistry Primary Antibodies Monoclonal Antibodies Polyclonal Antibodies Fitc Antibodies Automated Staining Instrumentation Mouse And Rabbit
The Origin Of P40 Negative And Cdx2 Positive Primary Squamous Cell Carcinoma Of The Stomach Case Report World Journal Of Surgical Oncology Full Text
Immunohistochemistry Of The Cytokeratin Ck 5 6 Protein The Cells In Download Scientific Diagram
Comparison Of Nuclear Grade And Immunohistochemical Features In Situ And Invasive Components Of Ductal Carcinoma Of Breast
An Analysis Of Cyclin D1 Cytokeratin 5 6 And Cytokeratin 8 18 Expression In Breast Papillomas And Papillary Carcinomas Diagnostic Pathology Full Text
Cytokeratin 5 6 Ck 5 6 Pathology Resident Wiki Fandom
Prostatic Cancer Persistent Basal Cells Staining With Ck 5 6 B And Download Scientific Diagram
Expression Of Cytokeratin 5 6 In Epithelial Neoplasms An Immunohistochemical Study Of 509 Cases Modern Pathology
Papillary Lesions Oncohema Key
Qiao S Pathology Adenomyoepithelioma Of The Breast Flickr
Cytokeratin 5 Antibody Ep1601y Nb110 Novus Biologicals
Ispub Com Ijpa 13 2
Cytokeratin 5 6 Ck 5 6 Pathology Resident Wiki Fandom
Breast Cancer Molecular Subclassification And Estrogen Receptor Expression To Predict Efficacy Of Adjuvant Anthracyclines Based Chemotherapy A Biomarker Study From Two Randomized Trials Sciencedirect
Loloi Carrick Ck 01 3 6 X 5 6 Area Rug Reviews Rugs Macy S
Basosquamous Carcinoma Report Of Two Cases And Review Of Literature
Expression Of Cytokeratin 5 6 In Epithelial Neoplasms An Immunohistochemical Study Of 509 Cases Modern Pathology
Pdf Prognostic Impact Of Egfr And Ck 5 6 As Basal Markers In Triple Negative Breast Cancers Semantic Scholar
Mcq Review Page 5 Anatomic Pathology Cytopathology Home
Cytokeratin 5 6 Antibody Rm341 Nbp2 Novus Biologicals
Anti Cytokeratin 5 6 Antibody Mouse Anti Human Monoclonal Ihc Lsbio
Cytokeratin 5 Rabbit Antibody Biocare Medical
Sandra J Shin Md Mba Dcis With Spindle Cell Morphology Negative Ck 5 6 Helps To Distinguish From Florid Usual Ductal Hyperplasia T Co Vfclbmz3o3
Cytokeratin 5 Antibody Ep1601y Nb110 Novus Biologicals
Pathology Outlines Cytokeratin 5 6 And Ck5
Pagetoid Histology In Bowen S Disease Carcinoma In Situ S 100 Ck 5 6 Dermpath Pathology Http T Co Da4qs28ppb
Diagnostic Utility Of A P63 A Methyl Coa Racemase P504s Cocktail In Atypical Foci In The Prostate Modern Pathology
Anti Cytokeratin 5 6 Antibody V0055 Mouse Monoclonal Assaybiotechnology
Solved Express The Limit As A Definite Integral Where P I Chegg Com
The Co Expression Of Cytokeratin And P63 In Epithelioid Angiosarcoma Of The Parotid Gland A Diagnostic Pitfall Topic Of Research Paper In Clinical Medicine Download Scholarly Article Pdf And Read For Free
Anti Cytokeratin 5 6 Antibody V0055 Mouse Monoclonal Assaybiotechnology
An Analysis Of Cyclin D1 Cytokeratin 5 6 And Cytokeratin 8 18 Expression In Breast Papillomas And Papillary Carcinomas Diagnostic Pathology Full Text
Cytokeratin 5 6 Ck 5 6 Pathology Resident Wiki Fandom
Anti Cytokeratin 5 Cytokeratin 6 Ck 5 Ck 6 Rabbit Monoclonal Antibody Clone Rm341 Revmab
Figure 3 A Case Report Of Spindle Cell Sarcomatoid Carcinoma Of The Larynx


